Hvordan diagnosticeres adenomyose?

Diagnosen stilles med sikkerhed ved, at man udtager en vævsprøve, som sendes til undersøgelse hos en patolog.

Ved en indvendig ultralydsundersøgelse (vaginal ultralyd) kan man opdage ca. 87% af alle tilfælde. Gynækologen mistænker adenomyose, hvis livmoderen er sfærisk/kugleformet, forstørret eller virker asymmetrisk og med vægge, som er forskellige af tykkelse. Nogle gange vil man kunne visualisere små blodfyldte cyster i muskelvæggen.

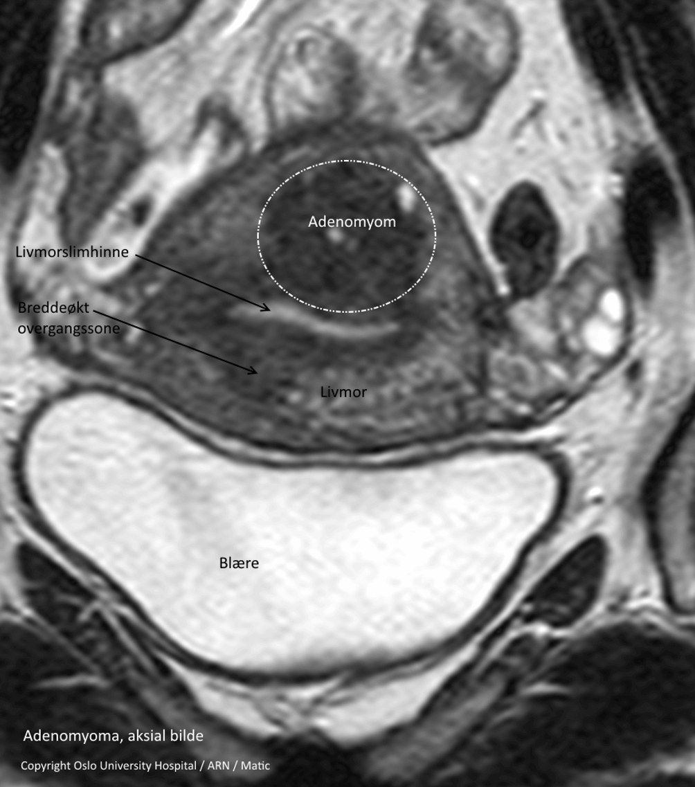
Det er også muligt at stille diagnosen ved en MR-scanning. Med denne metode kan ca. 90% af alle tilfælde blive diagnosticeret korrekt, forudsat at den rigtige undersøgelsesprotokol vælges, og at undersøgelsen bliver gennemført med god kvalitet.

Hvis lægen er usikker på diagnosen efter en indvendig ultralydsundersøgelse, kan der foretages en MR-scanning.

Med ovenstående diagnostiske modaliteter sammenholdt med symptomer og kendskab til sygdommen, vil gynækologen være i stand til at stille diagnosen adenomyose.

Kathrines vej til adenomyose

I denne spisode har vi besøg af Kathrine, der lever med den kroniske sygdom adenomyose. Vi taler om at være ung og leve med en sygdom, som mange ikke kender til eller har hørt om før. Lyt med for at blive klogere på adenomyose og Kathrines vej til diagnosen, som langt fra har været nem.

Et godt liv med Endometriose – gennem kost, motion og mindfulness

Dette er en komplet guide til, hvordan man kan leve et godt liv med endometriose.

Bogen klæder dig på til at blive ambassadør i dit eget liv, så du kan tage hånd om behandlingen af din endometriose.


Bliv klogere på, hvad den kroniske underlivssygdom endometriose er, hvordan den diagnosticeres og behandles.
Og mindst lige så vigtigt, hvad du selv kan gøre for at håndtere nogle af de udfordringer, livet som endometriosepatient kan medføre.

”Et godt liv med endometriose gennem kost, motion og mindfulness” 2. udgave er udkommet som E-Bog.

E-bogen

E-bogen kan købes via Saxo
Pris: kr. 79,95

Fysisk udgave

Ønsker du en fysisk udgave af bogen, kan du udfylde formularen her under.
Du vil efterfølgende blive kontaktet om alt det praktiske via e-mail.
Husk at holde øje med din indbakke og evt. spamindbakke.
Pris: kr. 200,-

MEDLEMSFORDEL: 50% i rabat

Bestillingsformular til køb af den fysiske udgave af "Et godt liv med endometriose"

Angiv om du er medlem for at opnå 50% i rabat