Hvordan diagnosticeres adenomyose?

Diagnosen stilles med sikkerhed ved, at man udtager en vævsprøve, som sendes til undersøgelse hos en patolog.

Ved en indvendig ultralydsundersøgelse (vaginal ultralyd) kan man opdage ca. 87% af alle tilfælde. Gynækologen mistænker adenomyose, hvis livmoderen er sfærisk/kugleformet, forstørret eller virker asymmetrisk og med vægge, som er forskellige af tykkelse. Nogle gange vil man kunne visualisere små blodfyldte cyster i muskelvæggen.

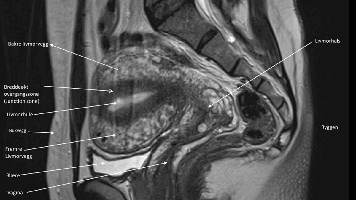
Det er også muligt at stille diagnosen ved en MR-scanning. Med denne metode kan ca. 90% af alle tilfælde blive diagnosticeret korrekt, forudsat at den rigtige undersøgelsesprotokol vælges, og at undersøgelsen bliver gennemført med god kvalitet.

Hvis lægen er usikker på diagnosen efter en indvendig ultralydsundersøgelse, kan der foretages en MR-scanning.

Med ovenstående diagnostiske modaliteter sammenholdt med symptomer og kendskab til sygdommen, vil gynækologen være i stand til at stille diagnosen adenomyose.

Om adenomyose

Hvad er adenomyose, og hvem rammer det? Læs mere her

Om adenomyose

Årsager til adenomyose

Den præcise årsag bag adenomyose er endnu ikke kortlagt, og forskerne arbejder fortsat med forskellige teorier.

Årsager

Adenomyose og endometriose

Selvom adenomyose ofte bliver kaldt ”indre endometriose”, er der altså tale om to forskellige sygdomme, der dog er tæt beslægtede.

Adenomyose og endometriose

Symptomer

Omkring en tredjedel af kvinder med adenomyose har slet ingen symptomer. Hos de resterende 70% af kvinder er kraftige menstruationer og smerter blandt de hyppigst forekommende

Symptomer

Adenomyose behandling

Behandlingsprincipperne for behandling af adenomyose er at stoppe menstruationerne, minimere både styrke og varighed af disse, eller at fjerne adenomyosevævet kirurgisk.

Behandling

Adenomyose og hysterektomi

Vi har samlet lidt nyttig information om at få fjernet livmoderen og livmoderhalsen ved en kikkertoperation

Fjernelse af livmoderen

Adenomyose og fertilitet

Mange bliver heldigvis gravide helt uproblematisk, selvom de har adenomyose. Men lider man af en mere aggressiv og udpræget adenomyose, kan sygdommen medføre nedsat fertilitet

Fertilitet
Vi kunne ikke tilmelde dig nyhedsbrev, prøv venligst igen.
Tak for din tilmelding. Vi har sendt dig en mail med et bekræftelseslink.

Få nyhederne fra Endometriose Fællesskabet først

Skriv dig op til Endometriose Fællesskabets nyhedsbrev og få de seneste nyheder og information om aktiviteter direkte i din indbakke.

Nyhedsbrevet udkommer én gang månedligt.